Как работает ФДТ?
Эффекты ФДТ REVIXAN в ортопедии
- активации хлорина Е6
- выработки синглетного кислорода и фотохимической реакции (ФБМ), активирующей эндогенный протопорфирин IX
- обеспечивает купирование отека и воспаления
- стимулирует выработку коллагена, улучшает метаболизм клеток
- уничтожаются патологические клетки за счет активации фагоцитарной активности и прямого действия активных форм Кислорода
- стимуляция работы митохондрий и накопление энергии АТФ
Показания к применению REVIXAN в ортопедии
- Артрозы, синовиты, тендиниты, бурситы, травмы
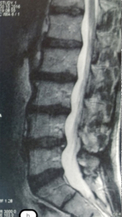
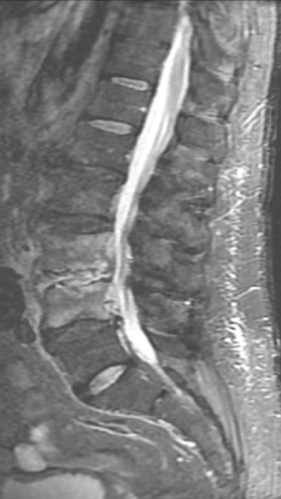
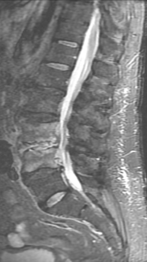
- Грыжи дисков, спондилодисцит
- Остеомиелит, асептический некроз (1-2 стадии)
Уникальность оборудования REVIXAN
Товары для врачей ортопедов
- Span для H1
- Светодиодный источник света
- Количество панелей
- 5
- Независимое включение каждого вида света
- Да
- Регулировка мощности излучения
- отдельная на каждой длине волны
- Электронное управление временем экспозиции
- Да
- Бренд
- REVIXAN
- Span для H1
- лазерная расческа
- Кол-во лазерных диодов 650 нм (красный)
- 12
- Кол-во лазерных диодов 808 нм (ИК)
- 5
- Мощность лазерных диодов 650 нм (красный)
- 5
- Мощность лазерных диодов 808 нм (ИК)
- 5
- Бренд
- REVIXAN
- Зона
- Волосистая часть головы / Лицо и тело
- Кол-во лазерных диодов 650 нм (красный)
- 12
- Кол-во лазерных диодов 808 нм (ИК)
- 4
- Мощность лазерных диодов 650 нм (красный)
- 5±20%
- Мощность лазерных диодов 808 нм (ИК)
- 150±20%
- Бренд
- REVIXAN
- Зона
- Волосистая часть головы
- Бренд
- REVIXAN
- Активное вещество
- Хлорин E6
Кейсы успешного моно-лечения
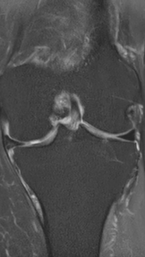
Рецидивирующий синовит сустава
Параметры изменяются в зависимости от процедуры
Дата публикации: 25.11.2025 19:19:00
Рецидивирующий синовит коленного сустава
Излечение за 1 процедуру ФДТ РЕВИКСАН
Параметры изменяются в зависимости от процедуры
Дата публикации: 11.02.2026 10:52:38
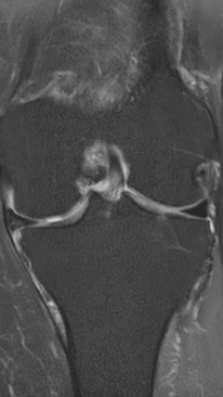
Рецидивирующий бурсит коленного сустава
Излечение за 2 процедуры ФДТ Ревиксан
Параметры изменяются в зависимости от процедуры
Дата публикации: 17.11.2025 11:31:27
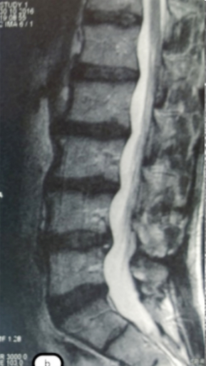
Хронический остеомиелит
Стойкая ремиссия после 4 процедур ФДТ Ревиксан
Параметры изменяются в зависимости от процедуры
Дата публикации: 17.11.2025 11:31:21
Болезнь Нотта
Параметры изменяются в зависимости от процедуры
Дата публикации: 17.11.2025 11:31:12
Фотодинамическая терапия в цифрах
Синергия методов
ФДТ REVIXAN
Локальное противовоспалительное воздействие уничтожение патологических клеток.
MBST
Регенерация глубоких тканей, стимуляция восстановления.ИПМТ (ионпараметрическая Магнитотерапия)
Рост клеточной массы кости за счет ионпараметрического резонанса ионов Кальция.Преимущества комплексного подхода REVIXAN
Кейсы комплексного лечения
Грыжа Диска L4-L5
3 процедуры ФДТ, 9 процедур MBST
Параметры изменяются в зависимости от процедуры
Дата публикации: 22.08.2025 14:27:20
Спондилодисцит L3 – L4
4 процедуры ФДТ, 9 процедур MBST, 20 процедур ИПМТ
Параметры изменяются в зависимости от процедуры
Дата публикации: 22.08.2025 14:27:12
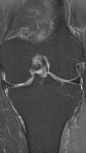
Асептический некроз коленного сустава
4 процедуры ФДТ, 9 процедур MBST, 15 процедур ИПМТ
Параметры изменяются в зависимости от процедуры
Дата публикации: 22.08.2025 14:27:03
Асептический некроз коленного сустава
3 процедуры ФДТ, 9 процедур MBST, 15 процедур ИПМТ
Параметры изменяются в зависимости от процедуры
Дата публикации: 22.08.2025 14:26:54
Асептический некроз тазобедренного сустава
3 процедуры ФДТ, 9 процедур MBST, 20 процедур ИПМТ
Параметры изменяются в зависимости от процедуры
Дата публикации: 22.08.2025 14:26:45
Результаты комплексного лечения
- Успешное лечение артрозов, асептического некроза
- Резорбция грыж дисков
- Купирование хронической боли, устранение синовита
Долгосрочные результаты
- Устранение причины хронической боли
- Восстановление функции суставов
- Предотвращение рецидивов
Обратная связь пациентов о процедуре REVIXAN
- Положительные отзывы о снижении боли
- Удовлетворённость результатами лечения
- Рекомендации метода другим пациентам
Возможности интеграции в клинике
- Простота внедрения методов
- Возможность использования в амбулаторной практике
- Высокая рентабельность
Фотобиомодуляция (LED-терапия) REVIXAN
Дополнительная терапевтическая опция аппаратов REVIXAN MIDI PLUS, REVIXAN MIDI PLUS (комплектация QUATRO LONG).
НИЛИ для лечения мышечной боли
Принцип действия
- Лазер проникает в мышцы на глубину до 5 см
- Стимулирует митохондрии, снижая гипоксию и спазмы доказанные эффекты
Эффекты от процедуры НИЛИ
- Снижение болевого синдрома на 30–50% после курса
- Увеличение подвижности мышц
- Ускорение восстановления структуры мышц после травм
- Длительность курса — 10–15 ежедневных сеансов по 20–30 мин
Основные зоны лечения при МФБС
- Мышцы шеи и плечевого пояса, верхних конечностей
- Мышцы нижних конечностей
- Мышцы поясничного отдела
- Височно-нижнечелюстной сустав (ВНЧС)
Преимущества терапии НИЛИ
- Снижение воспаления и отёка
- Глубокое воздействие на ТТ (триггерные точки)
- Стимуляция микроциркуляции и активация метаболических процессов
- Span для H1
- лазерная расческа
- Кол-во лазерных диодов 650 нм (красный)
- 12
- Кол-во лазерных диодов 808 нм (ИК)
- 5
- Мощность лазерных диодов 650 нм (красный)
- 5
- Мощность лазерных диодов 808 нм (ИК)
- 5
- Бренд
- REVIXAN
- Зона
- Волосистая часть головы / Лицо и тело
- Кол-во лазерных диодов 650 нм (красный)
- 12
- Кол-во лазерных диодов 808 нм (ИК)
- 4
- Мощность лазерных диодов 650 нм (красный)
- 5±20%
- Мощность лазерных диодов 808 нм (ИК)
- 150±20%
- Бренд
- REVIXAN
- Зона
- Волосистая часть головы
- Бренд
- REVIXAN
- Активное вещество
- Хлорин E6
Поддержка врачей
Отзывы
Нажмите на иконку или отсканируйте QR-код камерой телефона

