Принцип работы ФДТ
Для запуска фотохимической реакции требуется:
- свет, капа со светодиодами
- молекулярный кислород в тканях
- фотосенсибилизатор (ФС), гель и\или ополаскиватель.
Улучшается микроциркуляция и оксигенация в тканях, что способствует регенерации и ранозаживлению.
Какие проблемы решает ФДТ REVIXAN® DENTAL
REVIXAN® DENTAL эффективно, безопасно и быстро решает следующие стоматологические проблемы:
- Воспалительные заболевания тканей пародонта: пародонтит, гингивит.
- Одонтогенные инфекции, сопровождающиеся поражением мягких и костных тканей в области дентального имплантата и рассасыванием кости (периимплантит).
- Вирусные болезни слизистой оболочки полости рта: острый герпетический стоматит, рецидивирующий герпетический стоматит, герпангина.
- Грибковые болезни слизистой оболочки полости рта: острый и хронический кандидоз.
- Бактериальные болезни слизистой оболочки полости рта: язвенно-некротический стоматит Венсана, туберкулезный стоматит, стрепто-и стафилококковые нарушения и др.
В каких направлениях стоматологии используется ФДТ REVIXAN?
Пародонтология
Ортодонтия
Хирургия и имплантация
Гигиена и профилактика
Протоколы REVIXAN DENTAL
| Лечение гингивита и легкой степени пародонтита |
|
|---|---|
| Лечение хронического пародонтита средней степени тяжести |
|
| Лечение пародонтита тяжелой степени |
|
Схема работы с использованием ФДТ REVIXAN
ФДТ — это полная замена антисептической и антибактериальной обработки.
После каждой процедуры в кресле (профгигиена или механическая обработка — кюретаж, операция, вектор) врач проводит ФДТ в то же посещение + даёт капу домой для использования с ополаскивателем.
ФДТ может применяться как поддерживающее лечение и как профилактика обострений и прогрессирования пародонтита.
Присоединяйтесь к онлайн–школе REVIXAN
Клинические случаи
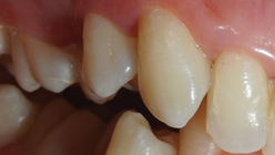
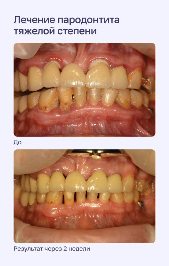
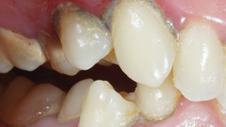
Пародонтит тяжелой степени
Результат через 2 недели
Параметры изменяются в зависимости от процедуры
Хронический пародонтит средней степени тяжести
Результат через 2 недели
Вектор терапия по схеме, затем ФДТ 2-3 раза в неделю Сочетание периоскан, вектор-терапии и ФДТ 2-3 раза через неделю.
Параметры изменяются в зависимости от процедуры
Гингивит и легкая степень пародонтита
Результат спустя неделю
Параметры изменяются в зависимости от процедуры
Товары REVIXAN для врачей стоматологов
- Независимое включение каждого вида света
- Да
- Количество режимов работы
- 3
- Бренд
- REVIXAN
- Независимое включение каждого вида света
- Да
- Длина шнура питания
- 0,8
- Количество режимов работы
- 3
- Бренд
- REVIXAN
- Бренд
- REVIXAN
- Бренд
- REVIXAN
- Span для H1
- Профессиональная беспроводная капа
- Независимое включение каждого вида света
- Да
- Длина шнура питания
- 0,8
- Бренд
- REVIXAN
- Span для H1
- Профессиональная беспроводная капа
- Независимое включение каждого вида света
- Да
- Длина шнура питания
- 0,8
- Количество режимов работы
- 3
- Бренд
- REVIXAN
- Span для H1
- Профессиональная беспроводная капа
- Независимое включение каждого вида света
- Да
- Длина шнура питания
- 0,8
- Количество режимов работы
- 3
- Бренд
- REVIXAN
- Бренд
- REVIXAN
- Активное вещество
- Куркумин / Толуидин
- Бренд
- REVIXAN
- Активное вещество
- Толуидин
В чем разница между стандартным протоколом лечения и протоколом с ФДТ?
|
|
Стандартное комплексное лечение согласно клиническим рекомендациям | Комплексное лечение с использованием метода фотодинамической терапии REVIXAN DENTAL |
|---|---|---|
| Механическая обработка участков воспаления: | проводится согласно клиническим рекомендациям (хирургический или нехирургический протокол, в зависимости от того, как работает врач). | проводятся те же манипуляции по механической обработке: профгигиена, кюретаж (закрытый/открытый), лоскутные операции, вектор терапия. |
| Медикаментозная обработка участков воспаления | проводится с использованием различных антисептических и антимикробных препаратов, например: раствор хлоргексидина, препараты с метронидазолом, фиксирующие и лечебные пародонтальные повязки. |
после каждого посещения мы полностью заменяем использование антибиотиков, антисептиков и повязок на ФДТ.
|
Антибиотики или ФДТ?
|
|
Стандартное комплексное лечение с АБ | Комплексное лечение с совместным использова-нием метода ФДТ REVIXAN DENTAL |
|---|---|---|
| Эффективность | низкая при резистентности пародонтопатогенов к Метронидазолу (из-за самостоятельного бесконтрольного использования Метрогил Дента пациентами до похода ко врачу). | высокая вне зависимости от резистентности флоры. ФДТ эффективно борется с пародонтопатогенами, вирусами и грибами. |
| Побочные действия |
|
|
| Долгосрочные результаты | при отсутствии воздействия начинается обратный рост пародонтопатогенов. Если пациент “пропадает”, мы вернемся в точку А. |
Эффект ФДТ усиливается со временем, за счет улучшения микроциркуляции и воздействия на патогенетическое звено проблемы. Так как капа и ополаскиватель остаются у пациента, он может проводить процедуру дома, даже если не имеет возможности прийти на прием. |
Преимущества REVIXAN DENTAL для врача-стоматолога
- Широкая область применения — не только замена антибиотикам при борьбе с пародонтопатогенами, но и улучшение микроциркуляции, а значит, регенерация и ранозаживление.
- Низкая себестоимость процедуры делает ее доступной для пациента без потери выгоды для врача.
- Отсутствие бактериальной резистентности к REVIXAN®, а значит, нет ограничений по времени применения. Если пациент сокращает срок или дозировку АБ, мы получим осложнения. С ФДТ такого нет!
- ФС REVIXAN® на основе хлорина Е6 является природным средством, которое работает более эффективно чем метиленовый синий и толуидин голубой (популярные ФС в Европе).
- Лояльные пациенты, которые рекомендуют стоматолога, так как видят эффективность и безопасность лечения.
- Сокращается время ФДТ процедуры как минимум в 3 раза по сравнению с использованием точечных источников света. Процедура становится простой и безопасной, часть процедуры может выполнять ваш ассистент.
Преимущества REVIXAN DENTAL для пациента
- Полный отказ от антибиотиков и антисептиков при сохранении эффективности!
- Быстрая домашняя помощь при ранозаживлении и воспалениях в полости рта с помощью простого прибора, в т.ч. при хирургическом вмешательстве или протезировании.
- Меньшее количество приемов и более длительная ремиссия при хронических заболеваниях.
- Безопасная, быстрая, простая, безболезненная и комфортная процедура.
- Возможность применения в профилактических целях в домашних условиях (вместе с ополаскивателем REVIXAN®), в т.ч при ОРВИ.
- После дезинфекции может использоваться другими членами семьи.
- Долговечность капы — непрерывный срок службы светодиодов более 2 лет.
- Доступная цена прибора и процедур у врача.
Товары REVIXAN для пациентов
- Бренд
- REVIXAN
- Активное вещество
- Куркумин / Толуидин
- Бренд
- REVIXAN
- Активное вещество
- Хлорин E6
- Бренд
- REVIXAN
- Зона
- Полость рта
- Бренд
- REVIXAN
- Зона
- Полость рта
- Бренд
- REVIXAN
- Зона
- Полость рта
- Бренд
- REVIXAN
- Зона
- Полость рта
- Бренд
- REVIXAN
- Бренд
- REVIXAN
Вопросы и ответы
ФДТ применяется для лечения воспалительных заболеваний слизистой оболочки полости рта (гингивит, пародонтит, КПЛ, стоматит) и профилактики инфекционных осложнений после травм и операций (мукозит, периимплантит, коррекция рецессии десны, удаление зубов, установка имплантатов).
Метод применяется при пародонтите, гингивите и периимплантите, а также при бактериальных, вирусных и грибковых поражениях слизистой полости рта(стоматит, КПЛ, лейкоплакия).
ФДТ работает как с этиологией (причиной) заболевания : приводит к гибели патогенных микроорганизмов без развития у них резистентности и не оказывает системного воздействия
Так и борется с патогенетическим фактором (последствиями) : улучшает микроциркуляцию тканей пародонта и слизистой оболочки полости рта, усиливает трофику тканей профилактируя рецидив и быстро улучшая состояние пациента.
Эти два фактора делают ФДТ незаменимой в стоматологии.
Да, метод используется для снижения риска воспаления, ускорения заживления и облегчения дискомфорта в первые дни после имплантации. Также ФДТ доказано улучшает остеоинтеграцию (приживляемость) имплантата, улучшая прогноз. Пациентам после имплантации показан курс ФДТ с капой REVIXAN и ополаскивателем дома.
Курс зависит от диагноза. В среднем требуется 1 процедура в неделю в клинике и 1–2 недели ежедневной домашней терапии. Курс лечения не более 3 недель.
Нажмите на иконку или отсканируйте QR-код камерой телефона

