Где применяется ФДТ REVIXAN®
Фотодинамическая терапия уже более 100 лет успешно используется врачами всех направлений: дерматологами, ЛОР - врачами, пластическими хирургами, врачами косметологами, офтальмологами и тд.
Наиболее частое применение ФДТ в гинекологии:
- Лечение хронических инфекционных заболеваний влагалища
- Регенерации слизистой после хирургических вмешательств, родов и гормонотерапии
Наиболее частое применение ФДТ в косметологии:
- Реабилитация после оперативных вмешательств
- Работа с рубцовыми деформациями
Наиболее частое применение ФДТ в подологии:
- Микозы
- Ониходистрофия
- Подошвенные бородавки
Наиболее частое применение ФДТ в трихологии:
- Различные виды алопеций
- Себорейный дерматит
- Фолликулит и псориаз кожи головы
Наиболее частое применение ФДТ в дерматологии:
- Лечение акне, розацеа, псориаза и других заболеваний кожи
- Работа с рубцами
Наиболее частое применение ФДТ в стоматологии:
- Полная замена антибактериальной терапии при лечении заболеваний тканей пародонта и слизистой оболочки полости рта
Наиболее частое применение ФДТ в косметологии:
- Омоложение
- Подготовка к контурной пластике
- Ускорение реабилитации после агрессивных аппаратных методик
Наиболее частое применение ФДТ в военной хирургии:
- Огнестрельные и осколочные ранения мягких тканей
- Гнойно-воспалительные и некротические процессы
- Санация послеоперационных и послеампутационных ран
- Ускорение регенерации и повышение приживляемости кожных лоскутов и трансплантатов
Наиболее частое применение ФДТ в ортопедии:
- Артрозы, синовиты, тендиниты, травмы
- Остеомиелит и асептический некроз (I–II стадия)
- Грыжи межпозвонковых дисков, спондилодисцит
- Ускорение заживления после операций
- Устранение причин хронической боли
- Восстановление функции суставов
- Предотвращение рецидивов
Российская компания основанная в 2013 году
Все продукты разрабатываются на основе исследований РФ и мира
Уже работают с методикой в России и странах СНГ
Наши представители всегда на связи в чате для врачей-партнеров
Помогать решать сложные клинические задачи, при этом сохраняя комфорт и эффективность как для пациента, так и для врача.
Чтобы получать такие результаты
Выберете подходящий вам раздел:
Для дерматологов, трихологов, подологов Для стоматологов Для гинекологов
Послеоперационные рубцы
Рубцам был год. Несмотря на такой большой срок после операции, они оставались розовыми, не белели.
Назначено: 3 сеанса ФДТ REVIXAN
Параметры изменяются в зависимости от процедуры
Дата публикации: 22.08.2025 14:37:27
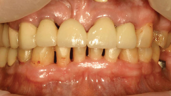
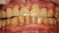
Пародонтит тяжелой степени
Результат через 2 недели
Параметры изменяются в зависимости от процедуры
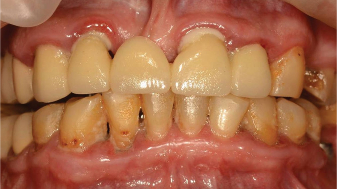
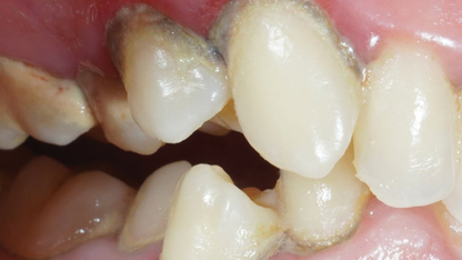
Хронический пародонтит средней степени тяжести
Результат через 2 недели
Вектор терапия по схеме, затем ФДТ 2-3 раза в неделю Сочетание периоскан, вектор-терапии и ФДТ 2-3 раза через неделю.
Параметры изменяются в зависимости от процедуры
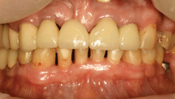
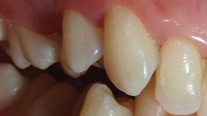
Гингивит и легкая степень пародонтита
Результат спустя неделю
Параметры изменяются в зависимости от процедуры
Рецидивирующий синовит сустава
Параметры изменяются в зависимости от процедуры
Дата публикации: 25.11.2025 19:19:00
Рецидивирующий синовит коленного сустава
Излечение за 1 процедуру ФДТ РЕВИКСАН
Параметры изменяются в зависимости от процедуры
Дата публикации: 11.02.2026 10:52:38
Рецидивирующий бурсит коленного сустава
Излечение за 2 процедуры ФДТ Ревиксан
Параметры изменяются в зависимости от процедуры
Дата публикации: 17.11.2025 11:31:27
Хронический остеомиелит
Стойкая ремиссия после 4 процедур ФДТ Ревиксан
Параметры изменяются в зависимости от процедуры
Дата публикации: 17.11.2025 11:31:21
Чтобы получать такие результаты
Выберете подходящий вам раздел:
Для дерматологов, трихологов, подологов Для стоматологов Для гинекологовДелает фотодинамическую терапию REVIXAN популярной и востребованной среди пациентов.
Узнать про обучение- Вид света
- 400 нм (синий) / 633 нм (красно-оранжевый) / 850 нм (ближний ИК) / 660 нм (красный)
- Span для H1
- Светодиодный источник света
- Количество панелей
- 5
- Максимальная площадь свечение
- 1 450
- Независимое включение каждого вида света
- Да
- Регулировка мощности излучения
- настройка мощности на каждой длине волны с шагом 20% и время экспозиции (0–60 мин)
- Электронное управление временем экспозиции
- Да
- Длина шнура питания
- 3
- Бренд
- REVIXAN
- Бренд
- REVIXAN
- Вид света
- 400 нм (синий) / 633 нм (красно-оранжевый) / 660 нм (красный) / 850 нм (ближний ИК)
- Span для H1
- Светодиодный источник света
- Количество панелей
- 5
- Независимое включение каждого вида света
- Да
- Регулировка мощности излучения
- отдельная на каждой длине волны
- Электронное управление временем экспозиции
- Да
- Бренд
- REVIXAN
- Бренд
- REVIXAN
- Вид света
- 400 нм (синий) / 660 нм (красный) / 850 нм (ближний ИК)
- Количество панелей
- 5
- Количество режимов работы
- 7
- Бренд
- REVIXAN
Нажмите на иконку или отсканируйте QR-код камерой телефона










