Клинические случаи, где назначены процедуры ФДТ REVIXAN®
Помогать решать сложные клинические задачи, при этом сохраняя комфорт и эффективность как для пациента, так и для врача.
Чтобы получать такие результаты
Выберете подходящий вам раздел:
Для дерматологов, трихологов, подологов Для стоматологов Для гинекологов
Послеоперационные рубцы
Рубцам был год. Несмотря на такой большой срок после операции, они оставались розовыми, не белели.
Назначено: 3 сеанса ФДТ REVIXAN
Параметры изменяются в зависимости от процедуры
Дата публикации: 22.08.2025 14:37:27
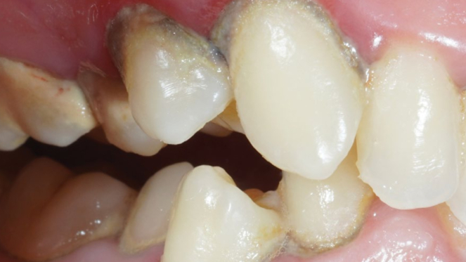
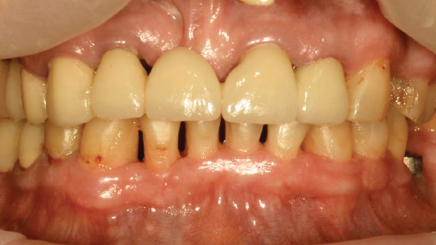
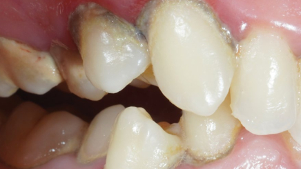
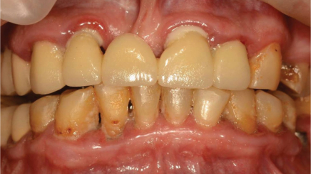
Пародонтит тяжелой степени
Результат через 2 недели
Параметры изменяются в зависимости от процедуры
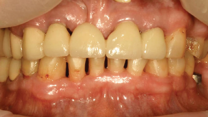
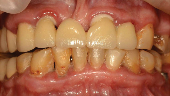
Хронический пародонтит средней степени тяжести
Результат через 2 недели
Вектор терапия по схеме, затем ФДТ 2-3 раза в неделю Сочетание периоскан, вектор-терапии и ФДТ 2-3 раза через неделю.
Параметры изменяются в зависимости от процедуры
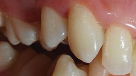
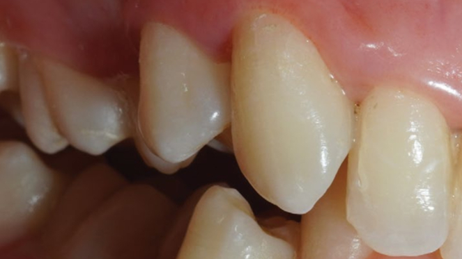
Гингивит и легкая степень пародонтита
Результат спустя неделю
Параметры изменяются в зависимости от процедуры
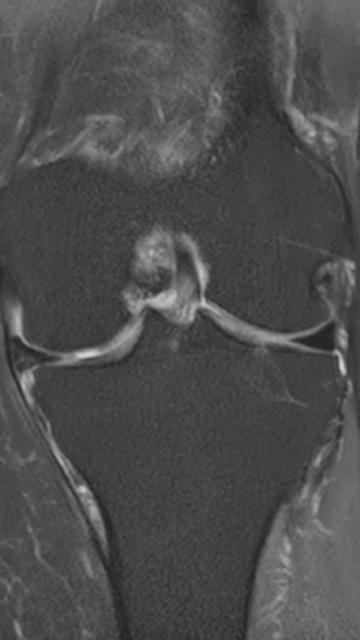
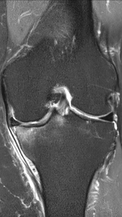
Рецидивирующий синовит сустава
Параметры изменяются в зависимости от процедуры
Дата публикации: 25.11.2025 19:19:00
Рецидивирующий синовит коленного сустава
Излечение за 1 процедуру ФДТ Ревиксан
Параметры изменяются в зависимости от процедуры
Дата публикации: 17.11.2025 11:26:14
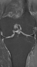
Рецидивирующий бурсит коленного сустава
Излечение за 2 процедуры ФДТ Ревиксан
Параметры изменяются в зависимости от процедуры
Дата публикации: 17.11.2025 11:31:27
Хронический остеомиелит
Стойкая ремиссия после 4 процедур ФДТ Ревиксан
Параметры изменяются в зависимости от процедуры
Дата публикации: 17.11.2025 11:31:21
Болезнь Нотта
Параметры изменяются в зависимости от процедуры
Дата публикации: 17.11.2025 11:31:12
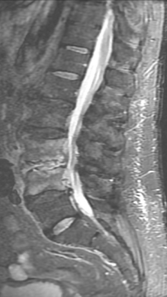
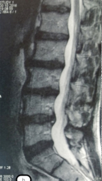
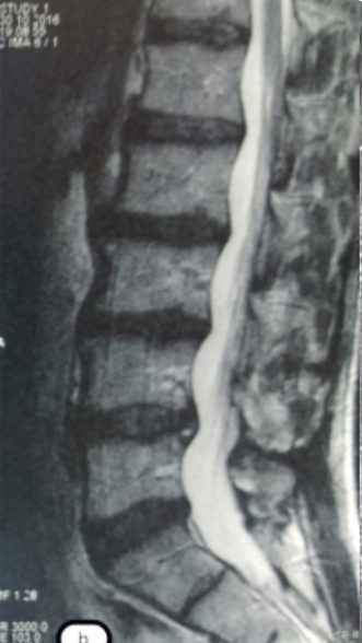
Грыжа Диска L4-L5
3 процедуры ФДТ, 9 процедур MBST
Параметры изменяются в зависимости от процедуры
Дата публикации: 22.08.2025 14:27:20
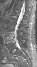
Спондилодисцит L3 – L4
4 процедуры ФДТ, 9 процедур MBST, 20 процедур ИПМТ
Параметры изменяются в зависимости от процедуры
Дата публикации: 22.08.2025 14:27:12
Асептический некроз коленного сустава
4 процедуры ФДТ, 9 процедур MBST, 15 процедур ИПМТ
Параметры изменяются в зависимости от процедуры
Дата публикации: 22.08.2025 14:27:03
Асептический некроз коленного сустава
3 процедуры ФДТ, 9 процедур MBST, 15 процедур ИПМТ
Параметры изменяются в зависимости от процедуры
Дата публикации: 22.08.2025 14:26:54
Асептический некроз тазобедренного сустава
3 процедуры ФДТ, 9 процедур MBST, 20 процедур ИПМТ
Параметры изменяются в зависимости от процедуры
Дата публикации: 22.08.2025 14:26:45
Пересадка кожи
Параметры изменяются в зависимости от процедуры
Дата публикации: 22.08.2025 14:25:31
Политравма стопы
Параметры изменяются в зависимости от процедуры
Дата публикации: 22.08.2025 14:40:15
Восстановление кожи предплечья
Параметры изменяются в зависимости от процедуры
Дата публикации: 22.08.2025 14:40:05
Очаговая алопеция
Назначено: мезотерапия, плазмотерапия PRP, курс ФДТ REVIXAN с REVIXAN CAPILLI, наружная терапия, подбор домашнего ухода.
Параметры изменяются в зависимости от процедуры
Дата публикации: 08.12.2025 20:19:33
Диффузное выпадение волос
Жалобы на ломкость и выпадение волос в течение последних 2-х месяцев, пациент связывает эти состояния со стрессом и приемом препаратов.
Провели базовую диагностику организма, сдали анализы, после чего восполнили все дефициты и приступили к лечению. Назначено: Биоревитализация волосистой части головы, лазерное лечение, ФДТ на аппарате REVIXAN.
Параметры изменяются в зависимости от процедуры
Дата публикации: 22.08.2025 14:39:46
Гипертрофический рубец
Пациент обратилась в клинику с жалобами на наличие гипертрофического рубца, после хирургического удаления фурункула на лице
Назначено: IPL+ 3 процедуры ФДТ REVIXAN 1р в 10-14д; IPL терапия 3 процедуры; 3 процедуры ФДТ с ФС REVIXAN Derma PRO.
Параметры изменяются в зависимости от процедуры
Дата публикации: 22.08.2025 14:39:38
Атрофичечкие полосы (стрии) L90.6
Назначено: 5 процедур ФДТ REVIXAN ФДТ, с ФС REVIXAN Derma Pro.
Параметры изменяются в зависимости от процедуры
Дата публикации: 22.08.2025 14:39:19
Отёк от радиесс
Назначено: 1 процедура ФДТ REVIXAN
Параметры изменяются в зависимости от процедуры
Дата публикации: 22.08.2025 14:39:06
Отёк после RF
После процедуры игольчатого RF лифтинга более 3х дней сохранялся отек.
Назначено: 1 процедура ФДТ REVIXAN. Дополнительно была назначена системная терапия.
Параметры изменяются в зависимости от процедуры
Дата публикации: 22.08.2025 14:38:52
Реабилитация после игольчатого RF
Назначено: 1 процедура ФБМ REVIXAN
Параметры изменяются в зависимости от процедуры
Дата публикации: 22.08.2025 14:38:40
Ангионевротический отёк лица и воспаление в зонах введения филлера; Сопутствующие диагнозы: Атопический дерматит, Розацеа
Пациентка обратилась в сентябре с выраженным ангионевротическим отёком лица и явлениями воспалительного характера в зонах введения филлера ( носогубные складки, область межбровья, губы, скулы), подъёмом температуры до 37.2. На фоне системного лечения, в течение недели, слабая динамика.
Назначено: 3 процедуры + ФБМ ФДТ, с ФС REVIXAN Derma PRO. Дополнительно была назначена системная терапия.
Параметры изменяются в зависимости от процедуры
Дата публикации: 22.08.2025 14:38:21
Левая молочная железа: некроз ореолы и отек; Правая молочная железа: линейные нормотрофтчекие рубцы, выраженный отек, напряжение ткани,болезненность, гематомы и блеск кожи в области операции
Проблема появилась после проведенной в октябре 2023 года пластической операции с целью замены ранее (в 2010 году) установленных имплантатов. Послеоперационный период (со слов пациентки) протекал с особенностями: на 3-4 день на перевязке обратила внимание, что область ареолы левой молочной железы имеет не характерный черный цвет, уплотнение и отсутствие розовой и живой кожи. Лечение по месту проведения операции не помогло.
Назначено: ФДТ REVIXAN с ФС Derma PRO - 4 процедуры дополнительно была назначена системная терапия и домашний уход
Параметры изменяются в зависимости от процедуры
Дата публикации: 22.08.2025 14:37:57
Ожог диодным лазером
Девушка обратилась в клинику после неудачной попытки удаления сосудов диодным лазером, в результате которой получила ожог.
Назначено: курс ФДТ в сочетании с PRP
Параметры изменяются в зависимости от процедуры
Дата публикации: 22.08.2025 14:37:40
Осложнение после лазерного эндолифтинга
Жалобы на длительно текущий воспалительный процесс в нижней трети левой щеки под кожей, сопровождающийся отёком, абсцедированием подлежащих тканей, формированием свищевого канала из полости абсцесса с поверхностью кожи, нарушением открывания рта до 3,5 см.
Назначено: 1 процедура ФБМ до операции; 1 процедура ФДТ после операции + системное лечение
Параметры изменяются в зависимости от процедуры
Дата публикации: 22.08.2025 14:37:16
Открытая рана носа
Назначено: 4 процедуры ФДТ REVIXAN с ФС REVIXAN Derma Pro
Параметры изменяются в зависимости от процедуры
Дата публикации: 22.08.2025 14:37:03
Кистозно-абсцедирующая форма розацеа
Пациентка болеет длительно. От системной терапии отказывается. Наружное лечение не помогает (проводилось несколько раз).
Назначено: 1 процедура ФДТ REVIXAN и санация очагов
Параметры изменяются в зависимости от процедуры
Дата публикации: 22.08.2025 14:36:53
Псориаз тела
Пациенту 37 лет, болеет псориазом более 10 лет, постоянные рецидивы. Классическая терапия - без эффекта. Решили попробовать ФДТ и посмотреть эффект. Из допсредств использовали только наружно эмоленты.
Назначено: ФДТ с REVIXAN Derma Pro - 3 процедуры
Параметры изменяются в зависимости от процедуры
Дата публикации: 22.08.2025 14:36:42
Псориаз волосистой части головы
Пациентка обратилась с жалобами на зуд и дискомфорт. В КВД поставлен диагноз Псориаз, назначен шампунь. Эффекта пациентка не увидела.
Назначено: 10 процедур ФДТ на аппарате REVIXAN DUO LIGHT MIDI + препарат REVIXAN CAPILLI + шампунь
Параметры изменяются в зависимости от процедуры
Дата публикации: 22.08.2025 14:36:31
Онихолизис
После полученной механической травмы и образования субнегтевой гематомы произошло отслоение ногтя (онихолизис). Новая ногтевая пластина стала образовываться неправильно и кожный валик мешал её прорастанию.
Назначено: Зачистка ногтя у подолога, 2 процедуры 1 р/мес; ФДТ с ФС REVIXAN Derma PRO - 5 процедур 1 раз в 3-5 дней.
Параметры изменяются в зависимости от процедуры
Дата публикации: 22.08.2025 14:36:16
Ониходистрофия, онихорексис нарушение ороговевания + снижение заживления на фоне осложненного анамнеза (СД 2 типа)
Назначено: Обработка + 2 процедуры ФДТ REVIXAN
Параметры изменяются в зависимости от процедуры
Дата публикации: 22.08.2025 14:35:59
Посттравматическая пигментация после шлифовки
Назначено: 10 процедур ФДТ REVIXAN + салициловый пилинг
Параметры изменяются в зависимости от процедуры
Дата публикации: 22.08.2025 14:35:44
Доброкачественная пигментация кожи
Результат: кожа приобрела более здоровый сияющий вид, стала качественно лучше. Уменьшилось качество воспалительных элементов, ускорился процесс регенерации кожи и значительно посветлели пигментные пятна.
Назначено: Биоревитализация REVI Strong + 1 процедура ФДТ REVIXAN
Параметры изменяются в зависимости от процедуры
Дата публикации: 22.08.2025 14:35:31
Вирусные бородавки
Пациент болеет с 2017 года, когда на коже левой стопы появились первые высыпания, постепенно распространились. Причина не известна, однако мама отмечает появление после проведенной операции в 2016 году. Химиотерапию не получали.
Назначено: 5 процедур ФДТ REVIXAN 1р/нед + системное лечение
Параметры изменяются в зависимости от процедуры
Дата публикации: 22.08.2025 14:35:16
Крапивница хроническая (L50.8)
Назначено: 3 сеанса ФДТ REVIXAN с гелем, антигистаминные, энтеросорбенты и гипоаллергенное питание
Параметры изменяются в зависимости от процедуры
Дата публикации: 22.08.2025 14:34:41
Дерматит
Положительная динамика была видна уже на третий день, до этого самостоятельно использовали местный препарат на воспалительные элементы.
Назначено: 1 сеанс ФДТ REVIXAN
Параметры изменяются в зависимости от процедуры
Дата публикации: 22.08.2025 14:34:52
Дерматит
Пациент в анамнезе с атопическим дерматитом, обострение на фоне стресса, усиление воспаления и мокнутия на применение спиртовой салфетки.
Назначено: 1 сеанс ФДТ REVIXAN с ФС REVIXAN Acne
Параметры изменяются в зависимости от процедуры
Дата публикации: 22.08.2025 14:35:01
Акне
Девушка обратилась в клинику после нескольких неудачных попыток лечения у других врачей.
Назначено: 1 сеанс ФДТ REVIXAN
Параметры изменяются в зависимости от процедуры
Дата публикации: 22.08.2025 14:34:07
Гидраденит, осложненный СД 2 типа или инверсное акне
Пациент проходил несколько эпизодов хирургического лечения, но появляются новые очаги, воспаляются старые. К антибиотикам и народной терапии чувствительности нет. Вся картина вызвана и осложняется наличием сахарного диабета 2 типа, что сильно подкашивает иммунитет (диабет декомпенсированный) + низкая заживляемость и затянувшийся воспалительный процесс.
Назначено: 1 сеанс ФДТ REVIXAN
Параметры изменяются в зависимости от процедуры
Дата публикации: 22.08.2025 14:33:53
Стероидная розацеа
Назначено: 3 процедуры ФДТ в монорежиме, 1 процедура ФДТ+ BBL
Параметры изменяются в зависимости от процедуры
Дата публикации: 22.08.2025 14:32:56
Эритематозно-телеангиэктатическая приливная розацеа
Назначено: 1 процедура комбинированного ФДТ + BBL
Параметры изменяются в зависимости от процедуры
Дата публикации: 22.08.2025 14:32:47
Стероидная розацеа
Назначено: 2 процедуры ФДТ в моно режиме, 2 процедуры в сочетанном с BBL,1 процедура - в комбинации с BBL
Параметры изменяются в зависимости от процедуры
Дата публикации: 02.10.2025 15:51:11
Улучшение качества кожи
Назначено: 5 процедур ФДТ (монотерапия)
Параметры изменяются в зависимости от процедуры
Дата публикации: 22.08.2025 14:32:24
отечность лица
Назначено: сочетаный протокол плазмотерапии (протокол мышечный + лифтинговый) в сочетании с ФДТ Revixan.
Параметры изменяются в зависимости от процедуры
Розацеа
Назначено: 2 процедуры ФДТ REVIXAN (монтерапия)
Параметры изменяются в зависимости от процедуры
Подошвенные бородавки
Назначено: 2 процедуры ФДТ REVIXAN (монотерапия)
Параметры изменяются в зависимости от процедуры
Дата публикации: 22.08.2025 14:31:26
Реабилитация после блефаропластики
Назначено: 2 процедуры ФДТ REVIXAN (монотерапия)
Параметры изменяются в зависимости от процедуры
Дата публикации: 22.08.2025 14:31:15
Повреждение кожи лица
Назначено: 1 процедура ФДТ сразу после CO2 (монотерапия)
Параметры изменяются в зависимости от процедуры
Дата публикации: 22.08.2025 14:31:00
Псориаз волосистой части головы
Назначено: 3 процедуры ФДТ (монотерапия)
Параметры изменяются в зависимости от процедуры
Гематома
Назначено: 2 процедуры ФДТ (монотерапия)
Параметры изменяются в зависимости от процедуры
Дата публикации: 22.08.2025 14:30:28
Повреждение кожи
Назначено: 4 процедуры ФДТ + системное лечение
Параметры изменяются в зависимости от процедуры
Дата публикации: 22.08.2025 14:30:17
Гематома лица
Назначено: 1 процедура ФДТ (монотерапия)
Параметры изменяются в зависимости от процедуры
Дата публикации: 22.08.2025 14:30:05
Гематома
Назначено: 1 процедура ФДТ (монотерапия)
Параметры изменяются в зависимости от процедуры
Дата публикации: 22.08.2025 14:29:55
Гематома лица
Назначено: 1 процедура ФДТ (монотерапия)
Параметры изменяются в зависимости от процедуры
Дата публикации: 22.08.2025 14:29:44
Постакне, рубцы
Назначено: 4 процедуры ФДТ (монотерапия)
Параметры изменяются в зависимости от процедуры
Дата публикации: 22.08.2025 14:29:34
Акне средней степени тяжести
Девушка 30 лет, акне средней тяжести, усугубляется ношением масок.
Назначено: 1 процедура ФДТ + наружное лечение
Параметры изменяются в зависимости от процедуры
Дата публикации: 22.08.2025 14:29:10
Акне тяжелой степени, папуло-пустулезная розацеа
Назначено: ФДТ 1 раз в 10 дней 6 процедур + наружная терапия
Параметры изменяются в зависимости от процедуры
Дата публикации: 22.08.2025 14:28:55
Папуло-пустулезная форма розацеа
Женщина, 41 год. Жалобы на длительно существующие высыпания в нижней трети лица, сопровождающиеся эритемой и отеком. Со слов пациентки, вышеуказанные жалобы отмечает в течение 2-х лет, количество высыпаний постепенно увеличивалось, лечилась самостоятельно наружными ГКС – с временным улучшением. Последнее обострение в течение 4-х месяцев после отмены наружных ГКС.
Назначено: 5 процедур ФДТ + системное и наружное лечение
Параметры изменяются в зависимости от процедуры
Дата публикации: 22.08.2025 14:28:43
Гнойный панариций
Жалоба на резкую, пульсирующую боль, распирание, нарушение функции
Назначено: 1 процедура ФДТ REVIXAN (монотерапия)
Параметры изменяются в зависимости от процедуры
Дата публикации: 02.10.2025 15:53:58
Абсцедирующая форма акне
Девушка 28 лет, акне, пролеченное год назад системными ретиноидами. Случился рецидив с крупным кистозным образованием на правой щеке.
Назначено: 2 процедуры ФДТ REVIXAN (монотерапия)
Параметры изменяются в зависимости от процедуры
Дата публикации: 22.08.2025 14:28:14
Вирусная бородавка правой стопы
Ребенок 9 лет, жалобы на зудящее, болезненное при ходьбе образование между первым и вторым пальцем правой стопы. Со слов мамы, образование появилось около 3 месяцев назад, но значения не придали, лечения не проводили, со временем жалобы усилились.
Назначено: 3 процедуры ФДТ REVIXAN (монотерапия)
Параметры изменяются в зависимости от процедуры
Дата публикации: 22.08.2025 14:28:02
Гранулематозная розацеа
Назначено: 1 процедура ФДТ REVIXAN (монотерапия)
Параметры изменяются в зависимости от процедуры
Дата публикации: 22.08.2025 14:27:46
Сочетанная форма акне и розацеа
Девушка, 30 лет, высыпания появились с подросткового возраста, к дерматологу не обращалась. После рождения ребенка состояние ухудшилось.
Назначено: ФДТ REVIXAN (4 процедуры, 1 раз в 2недели) и дополнительно была назначена системная терапия и домашний уход
Параметры изменяются в зависимости от процедуры
Дата публикации: 17.11.2025 21:36:06
Чтобы получать такие результаты
Выберете подходящий вам раздел:
Для дерматологов, трихологов, подологов Для стоматологов Для гинекологовНажмите на иконку или отсканируйте QR-код камерой телефона

